獣医さんのお仕事 公園だより
今回は、クロキツネザルのリリーのお話です。
クロキツネザルのお部屋にも掲示しておりますが、3月20日に大きな手術をしました。
リリーは健康診断で以前から肝臓の腫瘤を確認しており、投薬をしていたのですが、今年に入り急激に腫瘤が大きくなってしまいました。
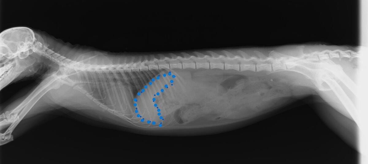
↓2022年のレントゲン写真(青い点が肝臓)。
↓2026年のレントゲン写真。
リリーは元気も食欲もあったのですが、このまま腫瘤が大きくなってしまうと胃や腸を圧迫して食欲がなくなってしまったり、突然腫瘤が破裂してしまったりする可能性もあったため、予後を考えると切除できるのであれば切除したいと考えていました。
しかし、巨大な腫瘤。手術もとても難しいものになりますし、そもそも当園にある検査機器では腫瘤全体の形状を把握できないため、手術適応なのかどうか判断することすら難しい状況でした。CT検査であれば、腫瘤がどうなっているのかわかるのではないか…
そのことを、市内のライト動物病院さんにご相談すると、快くCT検査を受け入れて下さっただけでなく、手術自体もご協力いただけることになりました!
3月17日にまずはCT検査を行うことになりました。ライト動物病院さんに向かうリリー(動画)。
排便・排尿してしまい動物病院を汚してしまわないようにと、初めてオムツを履かせてみました。器用なので、自らとってしまうかと思いましたが、移動の緊張でオムツどころではなかったようで、終始おとなしかったです。
動物のCT検査は人と異なり、全身麻酔をかけて行います。CT検査の前にエコー検査もして頂きました(リリーの心臓エコー 動画)。
検査を終え、腫瘤の摘出ができそうか検査結果を診て頂きました。その上で、3月20日、再びライト動物病院さんにて、先生方、スタッフの皆さまの多大なるご協力のもと、肝臓の大部分を切除するという大手術が無事に終わりました!皆さま、本当にありがとうございました。
手術を終え、動物病院から移動。他の個体がいる寝室の前に個別のお部屋を用意し、しばらくこのお部屋で術後の管理を行うことにしました。
↑園に帰ってきた直後のリリー、覚醒はしっかりしていましたが、大好きなバナナも食べずにじっとしていました。痛み止めなど術後管理としてやれるだけのことをしたので、あとはリリーの力を信じてその日は獣舎を去りました。
翌朝、なんと!夜に置いていったごはんは全て完食!!↓
日中もごはんをしっかり食べてくれました!手術した翌日の動きがどうかが一番ドキドキするので、とてもうれしかったです!↓術後2日目の様子(動画① 動画②)。
数日、注射による治療を続けましたが、日に日に注射を嫌がる力も増し、治療も終了。3月末から群れに合流してお客さまがご覧いただける運動場にも出ています。
↓久々に通路に出た時と
↓群れに合流した日の様子。
お腹の毛が生えそろうまではまだ時間がかかるかと思いますが、お腹の術創もきれいに治ってきています。
そして何よりリリーは現在も元気いっぱいで食欲もあります。リリーは現在18歳、これからものんびり暮らしてくれればと願っています。
二井

